熱線:021-66110810,66110819
手機:13564362870

熱線:021-66110810,66110819
手機:13564362870
對于肌紅蛋白的光譜掃描,將純化的馬肌紅蛋白蛋白在1毫克/毫升濃度下與1體積的10%抗壞血酸鈉混合以產生脫氧狀態,然后進行上述系列通氣以實現氧合肌紅蛋白狀態。
酵母的氧氣攝取。在過表達株和模擬株中,連續監測了酵母懸浮培養物40分鐘內的O2攝取速率。同時測量了以葡萄糖為碳源時,酵母懸浮培養物從溶液中耗盡O2所需的時間。釀酒酵母菌株INVSc1用于表達HsAQP1、NtPIP1;3或AtPIP1;2,以及模擬對照株,按照上述方法培養并誘導異源蛋白表達。酵母在KH2PO4緩沖液(0.1M,pH 6)中洗滌兩次,然后懸浮于15mL經N2鼓泡的SD-L-U+葡萄糖培養基中,置于50mL Falcon管中,使OD600達到5。向酵母懸浮液中通入空氣,直到其可溶性O2濃度達到約235μmol L-1,這是25°C下靜止培養基的穩定飽和水平。從這一點開始,使用連接到OXY-Meter(一種緊湊型O2微傳感器放大器,Unisense,Aarhus,丹麥)的尖端直徑為50μm的O2微傳感器(OX-50)每秒監測并記錄酵母懸浮液中O2濃度的下降。使用Parafilm密封Falcon管,以盡量減少自由空氣擴散。通過線性回歸計算初始0-1000秒內O2濃度下降的斜率,其絕對值代表不同酵母株在相應時間間隔內的O2消耗速率。記錄每種酵母懸浮液的O2耗盡時間。均值和標準誤差基于六次生物學重復計算得出。
煙草根低氧研究:生長條件與處理。煙草種子在土壤中萌發,植物在受控環境生長室中生長兩周,維持22/18°C(晝/夜)溫度,60±10%相對濕度,以及18小時光周期,光合光子通量密度約為350微摩爾/平方米/秒。生長兩周后,將植物轉移到含有半強度改良霍格蘭氏溶液的容器中,并用魚缸泵通氣。將36株植物隨機放置在六個容器中。一周后,通過用氮氣沖刷水使三個容器中的植物遭受低氧處理,達到溶解氧水平為2毫克/升,然后保持靜止。另外三個容器中的植物繼續通氣。
煙草中的定量RT-PCR。在低氧處理兩天和七天后取樣根和葉片。將組織樣品在液氮中使用研缽和研杵冷凍并勻漿。使用植物RNA提取試劑盒提取總RNA。如方法S1中所述進行cDNA合成和qPCR。NtPIP1;1、PIP1;2、PIP1;3、PIP1;4和PIP2;1的轉錄豐度針對兩個參考基因EF1-α和核糖體蛋白L25的轉錄豐度的幾何平均值進行標準化。使用引物設計軟件設計基因特異性引物。
ATP水平的測定。在低氧和通氣良好植物處理兩天和七天后,測量葉片以及根尖段、根中段和根基段的ATP水平。在處理兩天和七天后取樣煙草的根和葉片。將根分為基段、尖段和中段。將組織樣品研磨,并將50毫克研磨樣品置于2毫升離心管中的600微升冰鎮5%三氯乙酸中。將樣品劇烈渦旋20秒,冰上放置10分鐘,并在10,000倍重力、4°C下離心10分鐘。收集每份400微升上清液,并加入400微升冰鎮的Tris-乙酸緩沖液。對于ATP測定,將4微升混合物移液到96微升無ATP水中的96孔板的一個孔中。為了量化ATP,向每個孔中加入50微升來自ATP測定試劑盒的rLuciferase/Luciferin試劑,并按照制造商方案制備標準曲線。使用酶標儀檢測生物發光信號。
統計分析。通過描述性統計計算每次測定中基于生物學重復的平均值和標準誤。使用單因素方差分析(Tukey檢驗)分析統計學差異。
結果
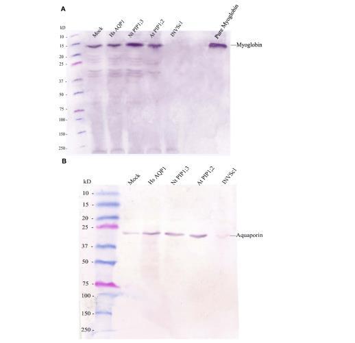
肌紅蛋白和水通道蛋白的蛋白質表達及轉錄豐度。使用抗肌紅蛋白抗體的免疫印跡證明了在構建的表達肌紅蛋白的選定酵母菌株中存在肌紅蛋白,但在INVSc1菌株中不存在。定量RT-PCR顯示,轉化酵母菌株中肌紅蛋白的轉錄豐度相似。使用抗人水通道蛋白1抗體的免疫印跡證明,該抗體能識別各自菌株中表達的異源水通道蛋白智人HsAQP1、煙草NtPIP1;3和擬南芥AtPIP1;2,并且也能微弱地識別僅表達肌紅蛋白的模擬菌株中的酵母同源水通道蛋白。比免疫印跡特異性更高的qRT-PCR檢測顯示,模擬菌株中異源表達的水通道蛋白基因HsAQP1、NtPIP1;3和AtPIP1;2的轉錄豐度可忽略不計,但在每個相應菌株中顯著較高。
圖1.使用抗肌紅蛋白抗體和抗人水通道蛋白1抗體進行免疫印跡分析。(A)使用一抗抗肌紅蛋白抗體對酵母總蛋白進行免疫印跡。(B)使用一抗抗人水通道蛋白1抗體對酵母總蛋白進行免疫印跡。
經過甲醛固定、石蠟包埋以及制備用于抗人水通道蛋白1抗體免疫檢測的切片酵母細胞后,與相對較弱的細胞內熒光信號相比,在HsAQP1菌株的酵母細胞切片外圍檢測到強烈的免疫熒光,表明質膜可能是其定位位點。這與TargetP的亞細胞定位預測一致,提示不存在線粒體靶向肽,并指出分泌途徑是真核細胞中HsAQP1最可能的位置。
圖2.與一抗抗水通道蛋白1單克隆抗體和熒光素標記的二抗孵育后,石蠟包埋的HsAQP1酵母菌株的間接免疫熒光結果。(A)藍光激發下的HsAQP1菌株。(B)明場下的HsAQP1菌株。(C)藍光激發下的模擬菌株。(D)明場下的模擬菌株。標尺長度為10μm。
氧氣轉運。在所檢測的酵母菌株中,表達HsAQP1、NtPIP1;3、NtPIP1;4、NtPIP2;1和NtXIP1;1的菌株通過初步分光光度測量顯示出氧氣通透性統計學上的顯著增加,這表現為肌紅蛋白A541吸光度變化速率更高,與模擬對照相比。過表達擬南芥和雙色蠟蘑的水通道蛋白并未改變A541吸光度,表明對氧氣通透性沒有顯著影響。
在酵母原生質體實驗中,我們對兩種最具潛力的氧氣轉運蛋白(HsAPQ1和NtPIP1;3)、一種在初步實驗中未顯示氧氣轉運特性的蛋白(AtPIP1;2)以及模擬菌株進行了進一步分析。基于對純化肌紅蛋白和酵母原生質體的光譜掃描,我們選定ΔA541/ΔA600和ΔA319/ΔA341作為肌紅蛋白氧合指標。90秒時的ΔA541/ΔA600值在各菌株中呈現與初步實驗相同的趨勢:表達NtPIP1;3的菌株數值最高,依次為HsAQP1、模擬菌株和AtPIP1;2(圖3)。經過5次30秒曝氣處理5分鐘后,ΔA319/ΔA341值顯示出更顯著的統計學差異:HsAQP1與模擬菌株之間,以及所有表達肌紅蛋白的菌株與未轉化菌株INVSc1之間均存在明顯差異(圖4)。
圖3.經過2次30秒通氣后的前90秒內,酵母原生質體的ΔA541/ΔA600值。星號表示與模擬菌株存在統計學顯著差異(下表顯示P值)(ANOVA,Tukey檢驗,P≤0.05,n=19±標準誤)。
圖4.經過5次30秒通氣共5分鐘后,酵母原生質體的ΔA319/ΔA341值。星號表示與模擬菌株存在統計學顯著差異(下表顯示P值)(ANOVA,Tukey檢驗,P≤0.05,n=6±標準誤)。
相關新聞